센터소개   장비소개   뇌출혈   외상성뇌출혈   뇌경색  
외상성 뇌출혈



외상성 뇌출혈이란?
외상으로 인하여 뇌조직 안의 혈관이 터져서 직접적인 뇌손상이 생긴 것으로출혈량, 위치, 증상 등에 따라 뇌출혈을 제거하는 개두술, 천두술, 수술적치료, 보존적치료로 출혈을 치료합니다.


원인과 증상
● 외상성 뇌출혈이 급성으로 발생하여 경우로 낙상, 교통사고, 폭행, 학대 등으로 발생할 수 있습니다.
● 외상성 뇌출혈 종류로는 급성 경막하 출혈, 만성 경막하 출혈, 경막외 출혈 등 두부 외상과 직⬝간접적인으로 연관이 있는 출혈이 있습니다.
● 증상으로는 외상으로 인하여 의식장애가 동반되며, 병원 도착전 혼수상태도 있을수 있므며 출혈이 계속되면 뇌부종이 생겨 뇌압이 증가하여 의식이 급격하게 악화되어 반신마비, 동공확대, 호흡곤란 등 생길수 있습니다.


진단 및 치료
● 진단
뇌출혈을 진단하기 위해서는 CT 및 MRI 등으로 두개강내의 출혈 여부를 확인할 수 있으며, 뇌지주막하 출혈이 생긴 경우 뇌혈관조영검사를 통하여 진단합니다.

● 치료
치료는 환자의 상태에 따라 치료법이 달라지며 출혈량이 적고 환자의 의삭상태가 양호한 경우 뇌CT를 촬영하여 지속적으로 관찰할 수 있으며, 출혈량이 많고 뇌부종이 심하여 조절이 안되는 경우 천두술, 개두술을 이용하여 경막을 열어 응고 출혈을 제거하고 제거하더라도 뇌부종이 올라가는 경우 감압술을 시행합니다.


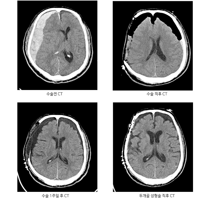
두개골성형술을 시행한 급성 경막하출혈 CT
나사렛종합병원 | 대표: 김대영 | 사업자번호: 503-90-59791
전화번호: 053-643-1400 | 팩스: 053-643-1405
주소: 대구광역시시 달서구 월배로 97(진천동)
메일: master@nazareth.co.kr
Copyright 2020. NAZARETH   ALL RIGHTS RESERVED.